What to expect after a stroke
/Depending on the severity of a stroke, most stroke victims will have life changes to face and will likely have to relearn how to gain control and independence in everyday living situations.
Read MoreDepending on the severity of a stroke, most stroke victims will have life changes to face and will likely have to relearn how to gain control and independence in everyday living situations.
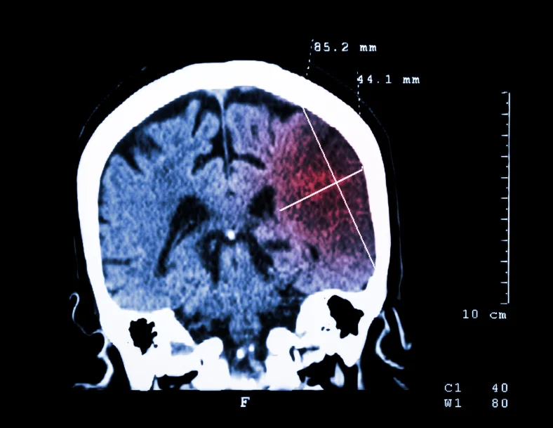
Read MoreSimilar to a heart attack, a stroke is actually a “brain attack.” A heart attack happens when blood suddenly is unable to reach a part of your heart but a stroke happens when blood supply cannot reach certain parts of your brain.
Read MoreHeadaches can disrupt your best laid plans. Whether you experience the dull pain, tightness and pressure of a tension headache or the sharp, throbbing ache of a migraine,
Read MoreEach stroke victim is unique. For some, only mild conditions develop that very likely will improve and resolve with time and rehabilitation. For
Read MoreHowever, experts warn not to view TIAs as just a blip in your brain function. Instead, TIAs should serve as a “warning stroke” requiring medical attention.
Read MoreThere is a concerning rise in the number of working-age men and women having strokes. In England in 2014 there were 6,221 hospital admissions for men aged 40-54 - a rise of 1,961 on 14 years earlier, a Stroke Association study shows.
Read MoreOn average a person dies from a stroke every 4 minutes. Stroke is the third leading cause of death in the United States. Here are 7 of the most important signs of a stroke.
Read More