Bone Spurs and Bone Health
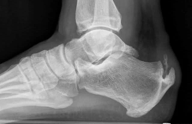
/As we age, bone health becomes increasingly important, especially for women, who are most at risk for bone density issues. Bone spurs or osteophytes are extra growths of the bone that can happen on the edge of any bone. Symptoms can include joint pain, tenderness, swelling and loss of motion in that affected joint. Bone spurs occur most commonly around the joints and can occur in the spine as well. They are not painful but can cause pain when they rub against other bones and nerves. Tendonitis or osteoarthritis are often one of the main causes of bone spurs. In some cases, they are a natural part of aging. Some even cause no symptoms and not even need any treatment. Others require pain medications and surgery.
Read More
