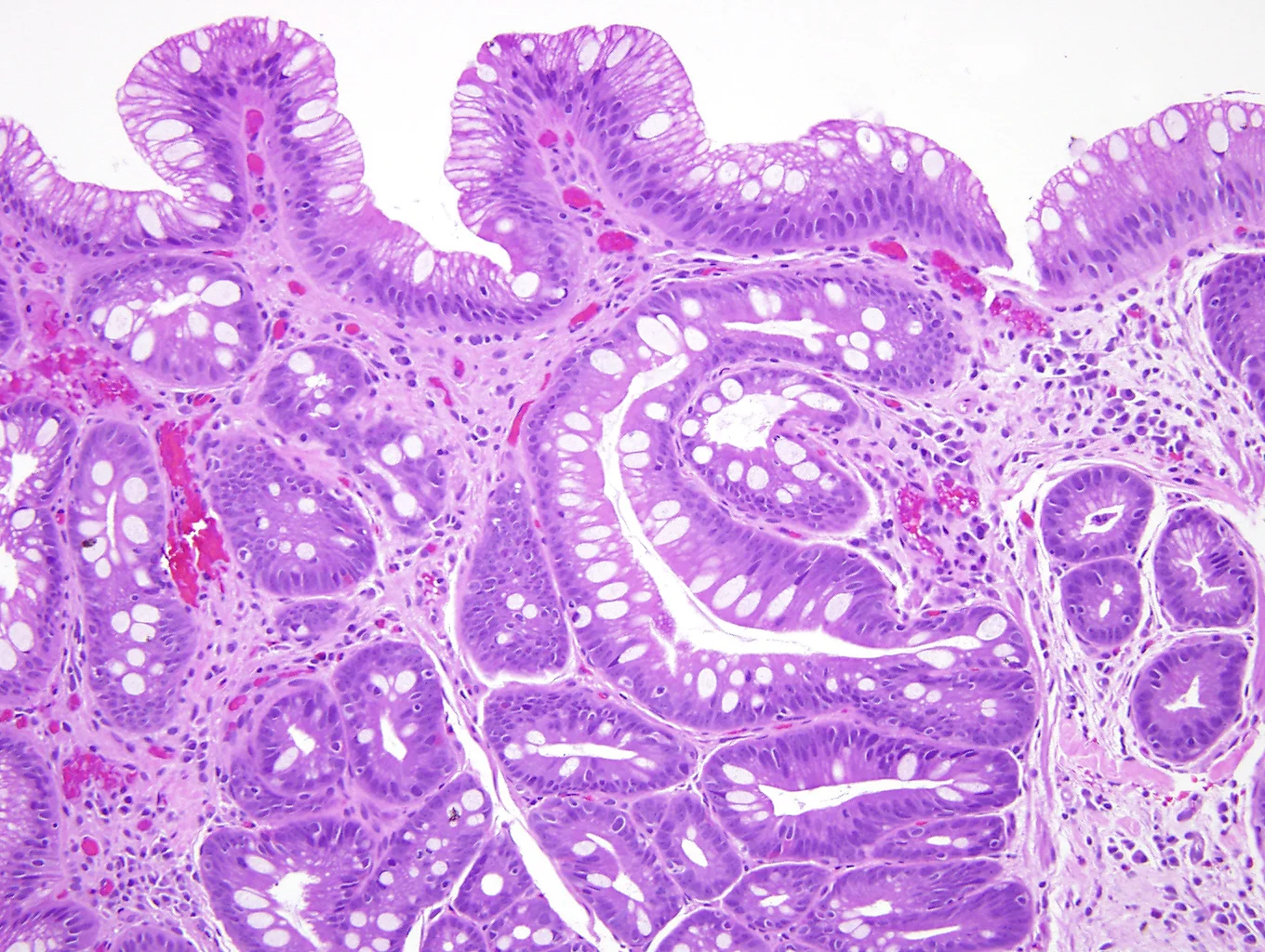
Barrett’s Esophagus
/Barrett’s esophagus, however exotic sounding, is a serious complication of chronic gastroesophageal reflux disease. Gastroesophageal reflux disease is usually used interchangeably with GERD (its acronym) and acid reflux. But there are some key differences. Acid reflux is the backward flow of stomach acid into the esophagus - the tube that connects the throat to the stomach. This backward flow occurs when the sphincter muscle at the lower end of your esophagus is weak or relaxes at the wrong time. If the valve or sphincter is open, stomach acid is allowed to back up into your esophagus. This reflux can, in turn, cause heartburn, among other not so pleasant symptoms.
Read More
