Do you know the early symptoms of Multiple Sclerosis?
/Do you know the early symptoms of Multiple Sclerosis?
Multiple sclerosis (MS) is unpredictable. Anyone of the current 2.5 million people around the world with this progressive autoimmune disease will tell you that. At its best, a person will look and feel completely normal experiencing no symptoms and believe they’ve beaten it. But then reality comes back to life resulting in a range of signs from mild to more severe reminding you it has not gone away.
As MS methodically wears away at the coverings that protect the nerve cells affecting an individual’s brain and spinal cord, it can manifest itself with certain symptoms. And that’s part of the problem. There are so many other conditions which cause similar symptoms that it may take years or even decades before a proper and accurate diagnosis of MS is made.
Generally diagnosed between the ages of 20 and 50, MS occurs two to three times more often in women than in men and Caucasians of northern European ancestry are more likely to develop it than other races. Children as young as 2 and individuals as old as 75, have been diagnosed with this disease.
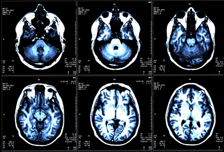
Only doctors can diagnosis MS but it’s not easy. There is no single test for MS available yet to verify or rule out MS; however magnetic resonance imaging (MRI) is proving valuable in helping reach a definitive diagnosis. This along with diagnostic criteria that incorporate MRI findings have been developed and revised by experts in the field giving new hope in helping clinicians in making an accurate and timely diagnosis.
But do you know or know what to look for in the early symptoms of MS? No two people have the same symptoms and the symptoms can fluctuate or change over time. Below are common symptoms that may indicate a person could have MS:
· Fatigue – Almost 80% of people with MS will have this symptom and it may be the most prominent symptom they have. The fatigue can be overwhelming enough to significantly interfere with normal functioning at home or work.
· Numbness or tingling – Often the first symptoms experienced, numbness of the face, body or extremities of the arms or legs are common among those with MS.
· Weakness – This symptom is due to deconditioning of muscles not being used from damage to nerves that stimulate muscles.
· Dizziness and vertigo – Feeling off balance, lightheaded or less commonly having the sensation of their surrounding spinning (vertigo) can be other symptoms noticed.
· Sexual problems – Both men and women with MS may experience difficulty achieving orgasm or have loss of libido. Men may have reduced sensation in the penis and difficulty achieving or maintaining an erection. For women, a reduced sensation in the vaginal/clitoral area, vaginal dryness or painfully heightened sensation could be some symptoms they have.
· Pain - Up to 55% of people with MS have pain as pain syndromes are common in the condition.
· Walking or gait difficulties – This symptom is related to several factors including weakness, spasticity, loss of balance, sensory deficit and fatigue.
· Spasticity – This refers to a feeling of stiffness along with a wide range of involuntary muscle spasms, commonly noticed in the legs.
· Vision problems – Often the first symptom for many people with MS, blurred vision, poor contrast or color vision, and pain on eye movement should be evaluated as soon as possible.
· Bladder problems – Up to 80% of people with MS will have bladder issues. This could include frequency or urgency of urination, hesitancy in starting urination, frequent nighttime urination or nocturia, incontinence, and inability to empty the bladder completely.
· Depression – Considered one of the most common symptoms found in people with MS, clinical depression has been found to affect those with the disease much more so than many other chronic conditions.
Anyone who is experiencing any of the above symptoms should schedule an appointment their primary care physician to be evaluated. Keep a diary of what symptoms you are experiencing, how frequently they occur and the severity of them. The more information you provide to your doctor, the quicker and more accurate of a diagnosis your doctor can provide for you.
