What women should know about high blood pressure and menopause
/Women who may have always had normal to even low blood pressure may find for the first time in their life, they are being told their blood pressure is elevated.
Read MoreWomen who may have always had normal to even low blood pressure may find for the first time in their life, they are being told their blood pressure is elevated.
Read MoreBlood glucose is our body’s main source of energy which comes from the food you eat. Insulin, a hormone made by the pancreas, helps glucose from food get into your cells to be used for energy.
Read MoreHere is a quiz all women – and men - should take to test their knowledge about breast cancer – the most common cancer diagnosed in women.
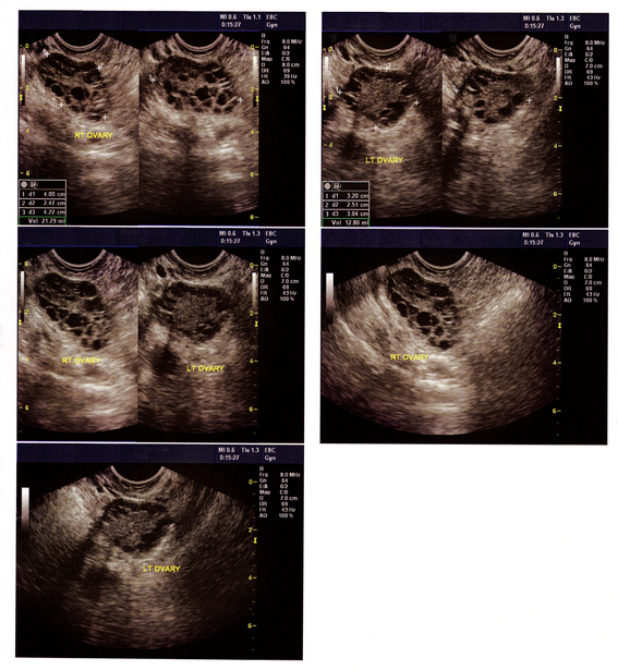
Read MoreDuring this time, your ovaries gradually produce less estrogen, causing follicle-stimulating hormones (FSH) – which are responsible for growing and developing eggs – to rise and menstrual cycles to shorten.
Read MoreThe condition is not well understood and therefore many women may be getting bad advice from their physicians while suffering needlessly from the side effects of PCOS.
Read MoreThe clutching of one’s chest writhing in pain is what we tend to associate with a heart attack and for good reason.
Read MoreCervical cancer has a way of subtly sneaking up on a woman. Often, the first sign she even has it is getting the call from her gynecologist’s office stating she has an abnormal Pap test – the only cancer the Pap test screens for is cervical cancer.
Read MoreOut of all forms of dementia, AD is the most common form. It generally occurs in people 65 and older but an uncommon form called early onset AD, is one developing years before AD usually strikes.
Read MoreBut, now that you’re an adult, suddenly reality has hit and your days are more likely to be filled with anxiety, pressure, and lots of stress.
Read MoreAs the years go by, it’s not uncommon for moms to be taking care of everyone else except themselves.
Read MoreNo woman wants to have a lot of hair growing in places where it normally does in men such as their upper lip, chin, chest, armpits, stomach, or back.
Read MoreWomen are doers – always doing things for others often forgoing or neglecting their own health in the process.
Read MoreWomen need direct clitoral stimulation to achieve orgasm and that does not happen during intercourse as there is simply not enough direct clitoral stimulation.
Read MoreEach year, the Centers for Disease Control (CDC) estimates that nearly 20 million new cases of STDs occur, half among young people aged 15-24.
Read MoreUnlike men, hair loss in women typically does not result in going completely bald.
Read MoreAny woman experiencing premenstrual syndrome symptoms should discuss this with their OB/GYN.
Read MoreFoods containing gluten and even chocolate are common foods blamed by some women to be the cause of their misery.
Read MoreOne other decision for some, but not all women with breast cancer is whether to have breast reconstruction after a mastectomy and sometimes, even after a lumpectomy.
Read MoreDrinking alcohol is done for a variety of reasons in many cultures, which does include women enjoying a glass of wine or other alcoholic beverage.
Read MoreA reading at or above 130/80 mm Hg is considered elevated blood pressure which increases the risk for hypertension.
Read More