Castration & Prostate Cancer

Castration & Prostate Cancer

Surgical castration to remove the testicles (orchiectomy) of men with metastatic prostate cancer was associated with lower risks for adverse effects compared with men who underwent medical castration.

Read More

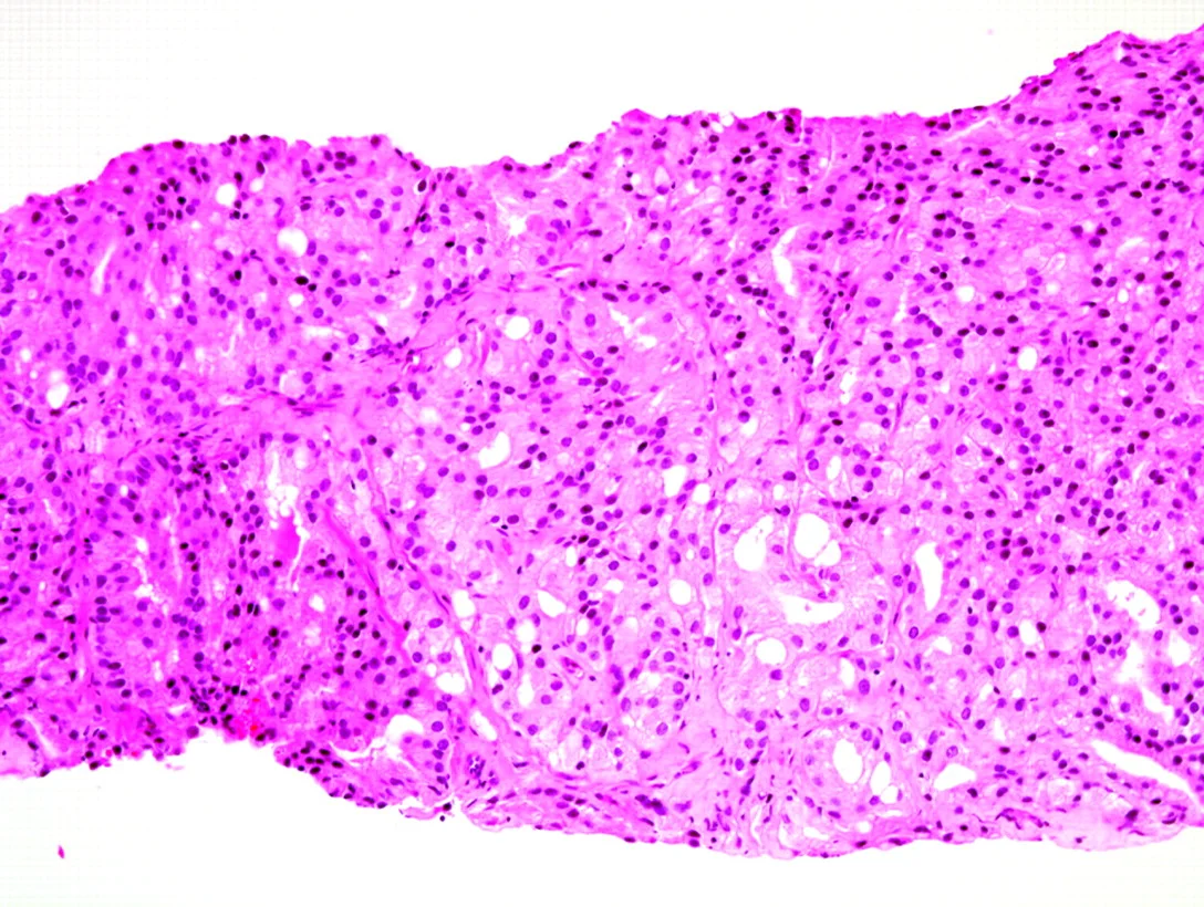
What does the Gleason score mean?

What does the Gleason score mean?

When diagnosing prostate cancer, a Gleason score is used to determine how aggressive the cancer is. Before understanding what the Gleason score means, one should know how a Urologist comes up with a Gleason score in the first place. To identify the Gleason score, a Urologist will do a prostate biopsy which involves collecting prostate tissue samples. These prostate tissue samples are then sent to a lab to be analyzed by a pathologist. The pathologist will determine the Gleason score which is made up of two numbers: a primary grade and a secondary grade.

Read More

Treatment for BPH

Treatment for BPH

Benign prostatic hyperplasia (BPH) is a condition that occurs in men usually over 50 years old and is characterized by an enlarged prostate. As men age, it is natural for the prostate to become enlarge. BPH is a noncancerous growth of the cells within the prostate gland. By age 60, more than half of men have BPH. By age 85, about 90 percent of men have BPH, but only about 30 percent will have symptoms.

Read More

What is percent-free PSA?

What is percent-free PSA?

PSA stands for prostate specific antigen. It is a protein in the blood and is measured by taking a person’s blood to identify the amount of PSA that is present within the blood. PSA is important to measure once a man gets older because if the level is abnormal, or elevated, it may indicate a number of prostate conditions, including prostate cancer.  

Read More

What is the Gleason score for prostate cancer?

What is the Gleason score for prostate cancer?

The Gleason score is a system using to grade prostate cancer tissue which is dependent upon how it looks when analyzed under a microscope. The Gleason score ranges from two to ten and is an indicator of how likely it is that the cancer will spread. It also provides the doctor with the necessary information needed to select the most optimal treatment plan for the patient. Similar to staging prostate cancer, grade are given to each prostate cancer case to determine the severity of the disease. A urologist will assign a grade to the prostate cancer after the patient has undergone a prostate biopsy. The tissue samples are sent to a laboratory to be analyzed by a pathologist.

Read More

What does an elevated PSA mean?

What does an elevated PSA mean?

An elevated PSA can mean a number of underlying conditions. Many people often associate an elevated PSA with prostate cancer, but that is not always the case. While prostate cancer is very common among older men, there are other conditions that may be affecting the prostate that could be the reason for developing an elevated PSA.

Read More

Staging system for prostate cancer

Staging system for prostate cancer

In order to stage prostate cancer, a staging system is used called the TNM system. The TNM system is used to describe how far the cancer has spread within the prostate gland or body. The TNM system is based on a few key pieces of information including the T category, which is the extent of the primary tumor, the N category, which determines whether the cancer has spread to nearby lymph nodes, the M category, which is determines the absence or presence of distant metastasis, as well as the PSA level and the Gleason score. 

Read More