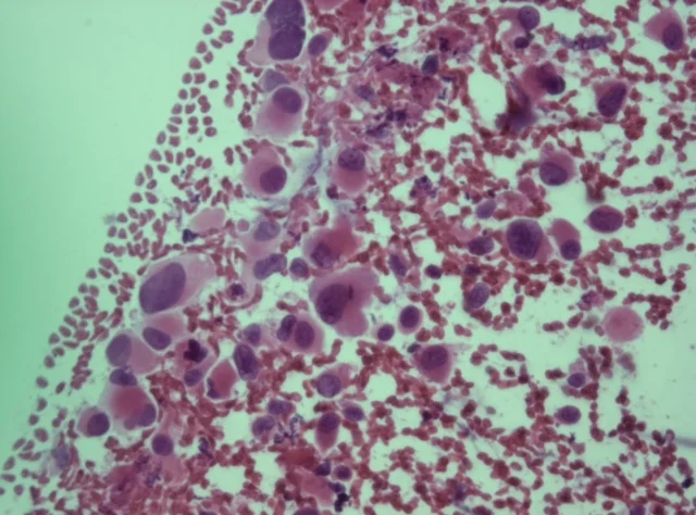
Hodgkin disease: A type of lymphoma
/Hodgkin disease is a type of lymphoma. Lymphoma is a type ofcancer that begins in the lymphocytes (white blood cells). Hodgkin disease is one of two types of lymphomas. The other type of lymphoma is called Non-Hodgkin lymphoma.
Read More



















